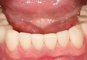
Безметалловая керамика считается одним из самых эстетичных материалов для восстановления зубного ряда. Из нее изготавливают коронки, виниры, накладки и т. д. Стандартная конструкция состоит из основы, сделанной из оксида циркония или алюминия, на которую наносится несколько слоев керамики (фарфора). Вкладки, виниры, накладки изготавливают без каркаса. Безметалловые зубные протезы практически неотличимы от натуральных зубов за счет того, что керамика точно так же преломляет свет, как и эмаль, не бликует.
В современной стоматологии применяют три основных вида безметалловых керамических конструкций:
Главное отличие безметалловой керамики от металлокерамики – отсутствие в конструкциях металлических сплавов. Это делает её не только более привлекательной визуально, но и безопасной для пациента. Металлические коронки могут негативно влиять на десны, вызывать аллергические реакции, раздражать слизистую ротовой полости, окисляться со временем и терять свой цвет.
Безметалловая керамика имеет практически неограниченный срок службы, не требует периодической шлифовки и замены за счет устойчивости к образованию налета, воздействию красителей и кислот. Состав ее безопасен, гипоаллергенен. Керамические протезы и вкладки отличают высокие теплоизоляционные характеристики, что исключает дискомфорт во время принятия холодной или горячей пищи и напитков.
Безметалловая керамика: цена от $280.
Безметалловую керамику рекомендуют устанавливать при разрушении одного или нескольких зубов, наличии выраженных аллергических реакций на металл, искривлении зубного ряда, необходимости достижения высокоэстетического вида зубов.
Противопоказания:
Реставрация зубов на основе безметалловой керамики — сложный процесс, требующий предельной аккуратности и точности от специалиста. Предварительно проводится лечение кариеса, гигиеническая чистка, удаление старых пломб. И только затем врач может приступить непосредственно к установке. Она состоит из нескольких этапов:
Правильно установленная безметалловая керамика при соблюдении простых рекомендаций прослужит не менее 10 лет. После протезирования обязательно посещение стоматолога с целью профилактического осмотра два раза в год. Для ежедневной гигиены полости рта лучше использовать мягкие зубные пасты без абразивов. Также не стоит употреблять слишком твердые продукты. Не забудьте приобрести зубную нить и ополаскиватель для более тщательного удаления остатков пищи.
Еще несколько лет назад безметалловая керамика была недоступна большинству пациентов за счет дороговизны, к тому же из-за недостаточной прочности ее не всегда рекомендовали для установки на жевательные зубы. Однако за счет внедрения новых технологий эти проблемы удалось решить. В Беларуси стоматологические конструкции из безметалловой керамики по прочности и долговечности ничем не уступают европейским и израильским аналогам. А цены на безметалловую керамику в Минске доступны любому среднестатистическому пациенту. Обращайтесь к нам прямо сейчас. Наши специалисты окажут вам всестороннюю поддержу в подборе подходящей клиники, организации поездки в Беларусь, рассчитают предварительную стоимость и продолжительность лечения.

